みどり区 左京山歯科・矯正歯科クリニック

症例

MENU

みどり区 左京山歯科・矯正歯科クリニック
矯正歯科の一覧ページです

歯科医師 採用情報

最新技術で輝く白い歯に CEREC

症例カテゴリ一覧
インプラント
インプラント治療
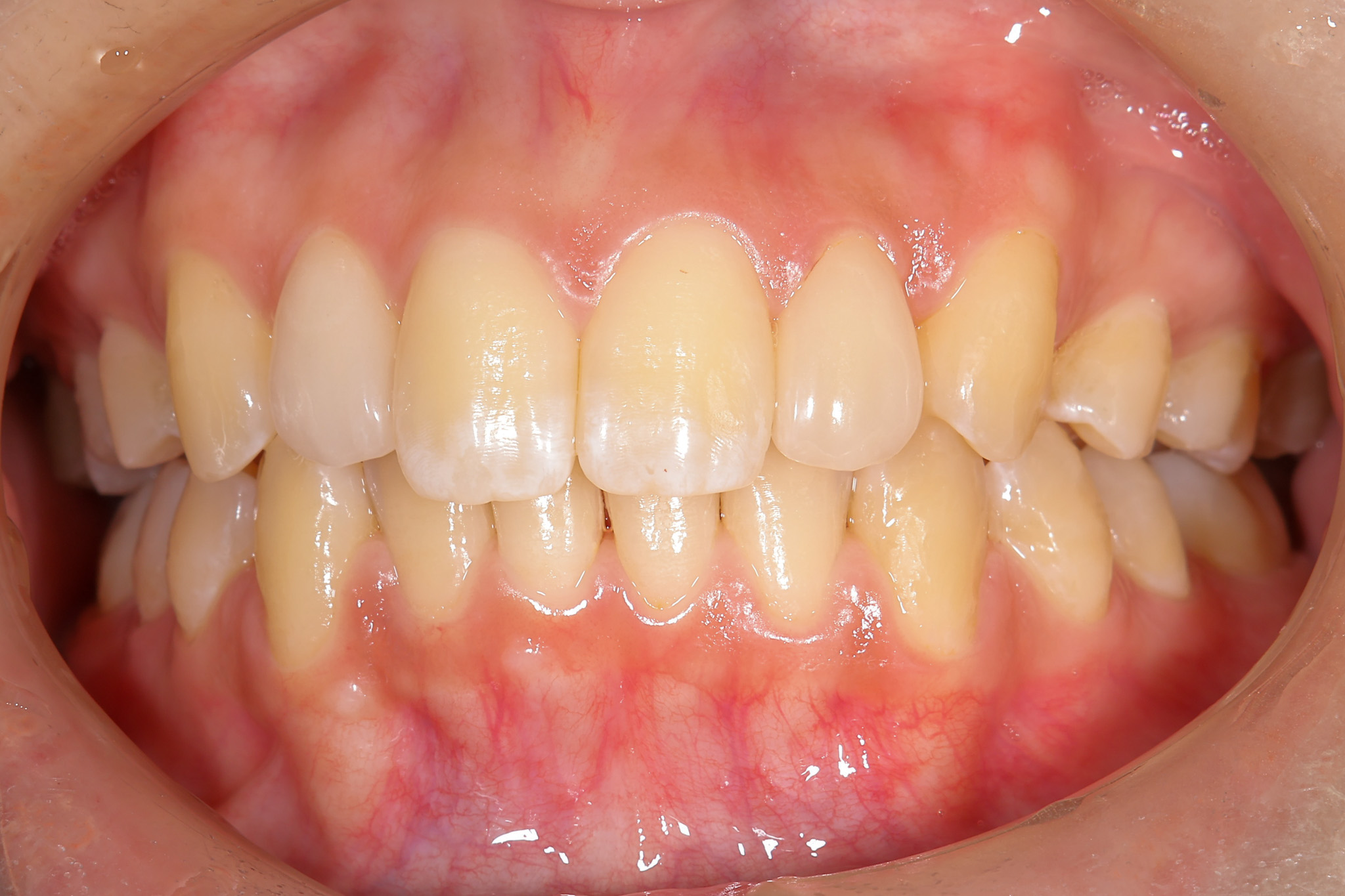
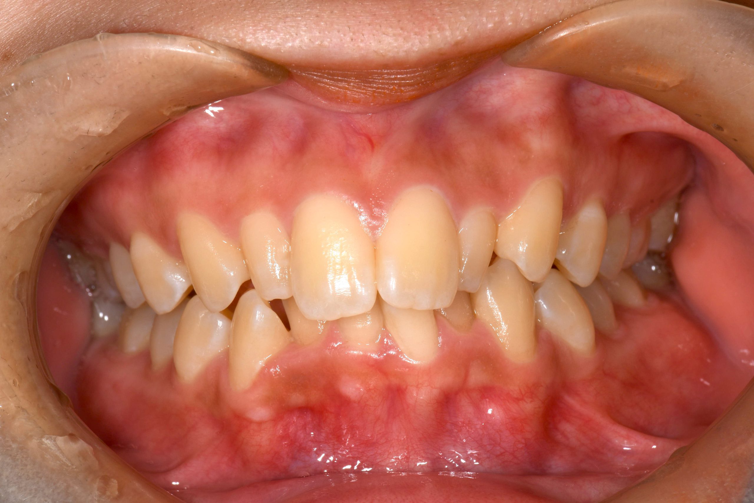
すきっ歯治療
ホワイトニング
予防治療
入れ歯
咬み合わせ治療
審美治療
小児歯科
欠損補綴
歯周病治療
矯正歯科
虫歯と根管治療

審美治療メニュー

審美治療

審美治療

esthetic

ホワイトニング

ホワイトニング

whitening

矯正歯科

矯正歯科

orthodontist

インプラント

インプラント

implant

すきっ歯治療

すきっ歯治療

paced-arch

その他の歯科メニュー

虫歯治療

a bad tooth

歯周病治療

periodontal

咬み合わせ治療

orthodontics

入れ歯

dentures

予防治療

preventive

小児歯科・小児矯正

pedodontics